| General Description The ventral diencephalon (VDC) is not an anatomical name for a single structure but a name we've given to a group of structures that generally cannot be distinguished from each other with standard MRI images. This "miscellaneous" area includes the hypothalamus, mammillary body, subthalamic nuclei, substantia nigra, red nucleus, lateral geniculate nucleus (LGN), and medial geniculate nucleus (MGN). White matter areas such as the zona incerta, cerebral peduncle (crus cerebri), lenticular fasciculus, and the medial lemniscus are also included in this area. The optic tract is included in this area in the most anterior extent. Each structure fades in and out of the VDC at different times. Therefore, the VDC greatly varies from slice to slic | |
| Procedure Sulci Lines  | |
|  |  | 
| Segmentation 
 | |
|  | Part I - Anterior portion of VDC The anterior VDC starts one slice posterior to the anterior commisure and should be defined by an isointensity contour line. The superior border is the hypothalamic fissure and the thalamus. This contour should exclude the anterior commissure, fornix, or any surrounding white matter and by convention should extend only a little wider than the optic chiasm (when present). The VDC should never extend to the pallidum. | 
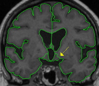
|  | Part II - Thalamus appears In most cases the same contour line used for the thalamus will work for the lateral borders of the VDC. The contour line should provide most of the lateral border of the VCD, though some manual editing with the draw function may be required. If the best fit contour shows the internal capsule, or cerebral peduncle cutting dramatically into the VDC manually edit the contour to include that portion of the internal capsule, or cerebral peduncle in the volume of the VDC. | 
|  | The LGN may have to be drawn in manually or defined by a separate contour. The choroidal fissure is the inferior border of the LGN. The most posterior extent of the VDC is the LGN, therefore when the LGN is gone there is no more VDC. | 
| Labeling This outline is labeled "VentralDC." | |
© 2005 Neuromorphometrics, Inc. All rights reserved